All Lung Sounds & Chest X-Rays icon

All Lung Sounds & Chest X-Rays

5.0 for Android
3.0 | 10,000+ Lượt cài đặt

Amdroid Apps

Mô tả của All Lung Sounds & Chest X-Rays

ABOUT:
This mnemonic is well DESIGNED WITH COLOR AND IMAGES of related topics
to help you not only memorize but also understand what you read. The contents are also arranged in alphabetical order to ease searching of required contents. We also made it easier for the user to see the content more clear and bigger by making it easy to be zoomed.
CONTENTS:
The application contains:
1. Pulmonolgy Mnemonics
2.Breath Sounds (with their illustrations & explannations)
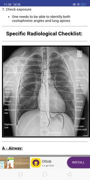
3.X -rays (Normal , abnormal & how to interprete)
4. Pulmonology Differential Diagnosis
Our Goal:
Our goal is to make everything easy for the medical students and whoever will be using this application.Our target is to have a good education and good doctors .Provision of images of related topics will provide explanations of what the user is studying and that's our main target (STUDYING WITH UNDERSTANDING ).
Note:
This application is only for educational purposes and pocket references. No part of this application should be copied or reproduced without written authority from the developer.
We would be grateful if you can forward your advices, suggestions and requests as this will help us to make the best possible application and of much greater benefits to all the users including yourself.
lastly, Please Kindly rate Our app. to encourage us to do more apps and upgrade the already present ones.

Tính năng Mới All Lung Sounds & Chest X-Rays 5.0

The application contains:
1. Pulmonolgy Mnemonics
2.Breath Sounds (with their illustrations & explannations)
3.X -rays (Normal , abnormal & how to interprete)
4. Pulmonology Differential Diagnosis
5.Better Graphics
6.Zooming possible
7.Privacy Policy Update

Thông tin bổ sung

  • Danh mục:
    Giáo dục
  • Phiên bản mới nhất:
    5.0
  • Đã cập nhật:
    2019-08-29
  • Kích thước:
    29.7MB
  • Yêu cầu:
    Android 4.1 or later
  • Nhà phát triển:
    Amdroid Apps
  • ID:
    com.andromo.dev686997.app710758