Radioapps
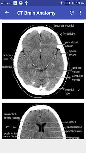
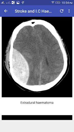
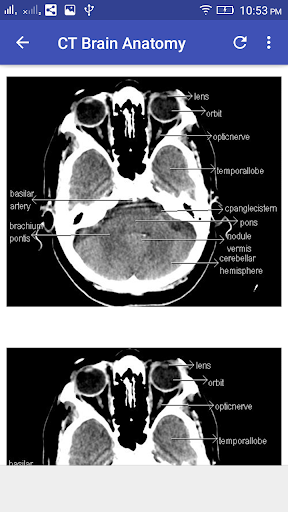
ဦး နှောက်၏မှန် CT စကင်ဖတ်စစ်ဆေးမှု
Talking Tom Cat
Temple Run 2
Mushroom Takeover
Quikr – Search Jobs, Mobiles,
imo beta -video calls and chat
Dearmet: Video Chat, Live Talk
ShopClues
Facebook Lite
Candy Crush Saga
2.5MB1,000,000,000+
4.0လူမှုရေး
1.1.1.1: Faster & Safer Internet
32.2MB100,000,000+
4.2ကိရိယာများ
VPN Super - Free VPN Proxy Server & Secure App
28.4MB50,000,000+
4.6ကိရိယာများ
Facebook
55.3MB5,000,000,000+
3.2လူမှုရေး
VidMate
30.2MB100,000,000+
5.0ကိရိယာများ
9Apps 4.9