Easy Age icon

Easy Age

1.0 for Android
4.7 | 5,000+ 설치 수

Easy Age Software

설명 Easy Age

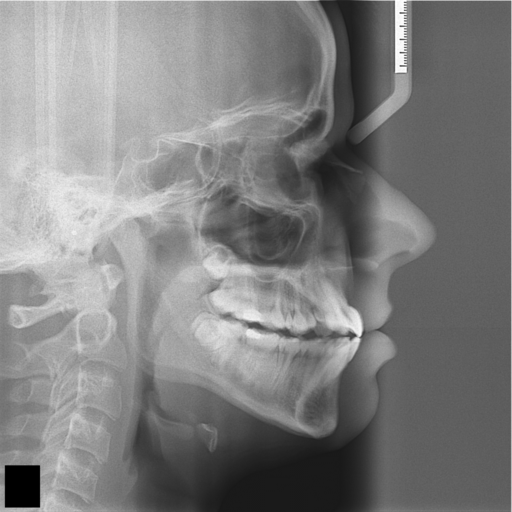
Easy Age is an app for the estimation of bone age through the cervical vertebrae maturation methods.
The changes that occur in the morphology of the cervical vertebrae C2, C3 and C4, present in routine lateral cephalograms can be used in the evaluation of bone maturation, in a reliable way and with the same clinical value of the assessment of the hand and wrist region. (Hassel & Farman, 1995;Baccetti et al, 2005)
Easy Age calculates bone age by methods:
- Hassel & Farman (1995)
- Mito et al (2002)
- Baccetti et al (2005)
Used in dentistry in orthodontics, jaw functional orthopedics, pediatric dentistry and implantology.
--------------------------------------------------------------------------------
References:
1. Hassel B, Farman AG. Skeletal maturation evaluation using cervical vertebrae. Am. J. Orthod. Dentofacial Orthop. 1995. 107(1):58-66.
2. Mito T, Sato K, Mitani H. Cervical vertebral bone age in girls.Am J Orthod Dentofacial Ortho. 2002. 122(4):380-85.
3. Bacetti T, Franchi L, McNamara JA Jr: The Cervical Vertebral Maturation Method for the assessment of Optimal Treatment Timing in Dentofacial Orthopedics. Semin Orthod 11(3):119-129

새로운 기능 Easy Age 1.0

Calculates with several methods of estimation of bone age using the maturation methods of the cervical vertebrae.

정보

  • 범주:
    의료
  • 현재 버전:
    1.0
  • 업데이트 날짜:
    2018-07-25
  • 크기:
    5.8MB
  • 필요한 Android 버전:
    Android 4 or later
  • 개발자:
    Easy Age Software
  • ID:
    insidetechnology.easyage
  • Available on: