Chest X-Ray And Pathology icon

Chest X-Ray And Pathology

2.0 for Android
3.0 | 10,000+ インストール

Multirez

説明 Chest X-Ray And Pathology

Chest X–rays for Medical Students is a unique teaching and learning resource that offers students, junior doctors, trainee radiologists, nurses, physiotherapists and nurse practitioners a basic understanding of the principles of chest radiology.
Provides a memorable way to analyze and present chest radiographs system as developed by the apk
this APK Explains how to recognize basic radiological signs, pathology and patterns associated with common medical conditions as seen on plain PA and AP chest radiographs
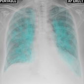
Presents each radiograph, ce as would be seen in a clinical and again with the pathology clearly highlighted
Includes a section of self–assessment and presentation exercises to test knowledge and presentation technique
Ideal for study and clinical reference, this apk will be the ideal companion for any medical student, junior doctor or trainee radiographer.

新機能 Chest X-Ray And Pathology 2.0

Chest X Ray and Phatology

情報

  • カテゴリー:
    others
  • 最終のバージョン:
    2.0
  • 更新日:
    2018-03-16
  • サイズ:
    21.6MB
  • 動作環境:
    Android 4.0.3 or later
  • 開発元:
    Multirez
  • ID:
    com.chestxray.pathology