ikon x-ray interpretation guide

x-ray interpretation guide

1.0 for Android
3.8 | 5,000+ Instal

Medical Apps For Doctors

Penjabaran dari 9apps X-Ray Interpretation

Thousands of top best android apps on 9Apps! 20,000+ users downloaded X-Ray Interpretation latest version on 9Apps for free every week! Once you've used it, you'll be attracted. This hot app was released on 2019-12-12. It is a very popular app on India now.
X-Ray Interpretation.
chest x ray interpretation
dental x ray interpretation
x-ray interpretation
x-ray interpretation guide
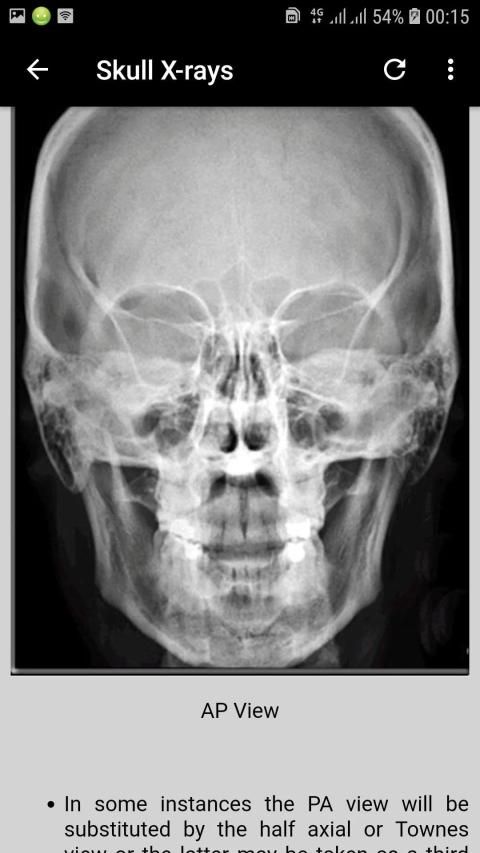
Interpretation of Skull, paranasal sinuses, orbit, chest, abdomen, urogenital tract (pelvis), and musculoskeletal x-rays.
CHEST X-RAY (CXR) INTERPRETATION
Chest x-rays (CXR) are a frequently performed radiological investigation that you’ll be expected to be capable of interpreting (as due to the sheer volume of chest x-rays requested they are often not reported immediately). Therefore before hitting the wards as doctors, it is essential that you develop the ability to interpret chest x-rays, of particular importance, is the ability to recognise findings that require immediate medical attention.
Confirm details
Always begin by checking the following:
Patient details (name / DOB)
Date and time the film was taken
Any previous imaging (useful for comparison)
Assess image quality
Then briefly assess the quality of the image: A mnemonic you may find useful is ‘RIPE’:
Rotation
The medial aspect of each clavicle should be equidistant from the spinous processes
The spinous processes should also be in vertically orientated against the vertebral bodies.
Inspiration
5-6 anterior ribs, the lung apices, both costophrenic angles and lateral rib edges should be visible
Projection
AP vs PA film
Tip- if there is no label, then assume it’s a PA. Also, if the scapulae are not projected within the chest, it’s PA.
Exposure
Left hemidiaphragm visible to the spine and vertebrae visible behind heart
CXR interpretation (ABCDE approach)
Airway
Trachea
Is the trachea significantly deviated?
The trachea is normally located centrally or just slightly off to the right
If the trachea is deviated, look for anything that could be pushing or pulling at the trachea.
Also inspect for any paratracheal masses/lymphadenopathy
Pushing of trachea – e.g. large pleural effusion / tension pneumothorax
Pulling of trachea – e.g. consolidation with lobar collapse
Rotation of the patient can give the appearance of a deviated trachea, so as mentioned above, check the clavicles to rule out rotation as the cause
How to Read a Chest X-ray – A Step By Step Approach
There is no perfect way to read an x-ray. However, the important message I would like to give is, to adopt one or the other approach, and to use the chosen approach consistently.
On all Xrays check the following:
Check patient details
First name, surname, date of birth.
Check orientation, position and side description
Left, right, erect, ap, pa, supine, prone
Check additional information
inspiration, expiration
Check for rotation
measure the distance from the medial end of each clavicle to the spinous process of the vertebra at the same level, which should be equal
Check adequacy of inspiration
Nine pairs of ribs should be seen posteriorly in order to consider a chest x-ray adequate in terms of inspiration
Check penetration
one should barely see the thoracic vertebrae behind the heart
Check exposure
One needs to be able to identify both costophrenic angles and lung apices
Interpretasi X-Ray.
interpretasi rontgen dada
interpretasi x-ray gigi
interpretasi x-ray
panduan interpretasi x-ray
Interpretasi tengkorak, sinus paranasal, orbit, dada, perut, saluran urogenital (pelvis), dan x-ray muskuloskeletal
PENAFSIRAN X-RAY DADA (CXR)
Sinar-X dada (CXR) adalah investigasi radiologis yang sering dilakukan yang Anda diharapkan dapat menafsirkan (karena volume semata-mata dari sinar-x dada yang diminta mereka sering tidak segera dilaporkan). Karena itu sebelum memukul bangsal sebagai dokter, penting bagi Anda untuk mengembangkan kemampuan untuk menafsirkan rontgen dada, yang sangat penting, adalah kemampuan untuk mengenali temuan yang memerlukan perhatian medis segera.
Konfirmasikan detail
Mulailah selalu dengan memeriksa yang berikut:
Detail pasien (nama / DOB)
Tanggal dan waktu film diambil
Pencitraan sebelumnya (berguna untuk perbandingan)
Nilai kualitas gambar
Kemudian secara singkat nilai kualitas gambar: Mnemonik yang mungkin berguna bagi Anda adalah ‘RIPE’:
Rotasi
Aspek medial dari masing-masing klavikula harus sama dari proses spinosus
Proses spinosus juga harus secara vertikal berorientasi terhadap tubuh vertebra.
Inspirasi
5-6 tulang rusuk anterior, apeks paru-paru, baik sudut costophrenic dan tepi rusuk lateral harus terlihat
Proyeksi
Film AP vs PA
Kiat- jika tidak ada label, maka anggap sebagai PA. Juga, jika skapula tidak diproyeksikan di dalam dada, itu adalah PA.
Paparan
Hemidiaphragm kiri terlihat oleh tulang belakang dan vertebra terlihat di belakang jantung
Interpretasi CXR (pendekatan ABCDE)
Jalan nafas
Batang tenggorok
Apakah trakea menyimpang secara signifikan?
Trakea biasanya terletak terpusat atau sedikit ke kanan
Jika trakea menyimpang, cari apa pun yang bisa mendorong atau menarik trakea.
Juga periksa apakah ada massa paratrakeal / limfadenopati
Mendorong trakea - mis. efusi pleura / ketegangan pneumotoraks yang besar
Penarikan trakea - mis. konsolidasi dengan keruntuhan lobar
Rotasi pasien dapat memberikan penampilan trakea yang menyimpang, sehingga seperti yang disebutkan di atas, periksa klavikula untuk menyingkirkan rotasi sebagai penyebabnya.
Cara Membaca Rontgen Dada - Pendekatan Langkah Demi Langkah
Tidak ada cara sempurna untuk membaca x-ray. Namun, pesan penting yang ingin saya sampaikan adalah, untuk mengadopsi satu atau beberapa pendekatan lain, dan menggunakan pendekatan yang dipilih secara konsisten.
Pada semua Xrays periksa yang berikut:
Periksa detail pasien
Nama depan, nama keluarga, tanggal lahir.
 
Periksa orientasi, deskripsi posisi dan samping
Kiri, kanan, tegak, ap, pa, terlentang, rawan
 
Periksa informasi tambahan
 inspirasi, kedaluwarsa
 
Periksa rotasi
mengukur jarak dari ujung medial masing-masing klavikula ke proses spinosus vertebra pada tingkat yang sama, yang harus sama
 
Periksa kecukupan inspirasi
Sembilan pasang tulang rusuk harus dilihat posterior untuk mempertimbangkan rontgen dada yang memadai dalam hal inspirasi
 
Periksa penetrasi
orang harus hampir tidak melihat vertebra toraks di belakang jantung
 
Periksa eksposur
Seseorang harus mampu mengidentifikasi sudut costophrenic dan apeks paru-paru

Informasi

  • Kategori:
    Kedokteran
  • Versi Terbaru:
    1.0
  • Perbarui:
    2019-04-12
  • Ukuran File:
    64.5MB
  • Persyaratan:
    Android 4.1 or later
  • Diupdate:
    Medical Apps For Doctors
  • ID:
    com.radiography.xray.interpretation