ikon Easy Age

Easy Age

1.0 for Android
4.7 | 5,000+ Instal

Easy Age Software

Penjabaran dari 9apps Easy Age

Here are some news for you to learn more about one of the best android apps. 30,000+ users downloaded Easy Age latest version on 9Apps for free every week! And it was enormous fun This hot app was released on 2018-07-27. 9Apps has thousands of apps and updated daily!
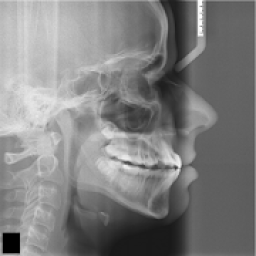
Easy Age is an app for the estimation of bone age through the cervical vertebrae maturation methods.
The changes that occur in the morphology of the cervical vertebrae C2, C3 and C4, present in routine lateral cephalograms can be used in the evaluation of bone maturation, in a reliable way and with the same clinical value of the assessment of the hand and wrist region. (Hassel & Farman, 1995;Baccetti et al, 2005)
Easy Age calculates bone age by methods:
- Hassel & Farman (1995)
- Mito et al (2002)
- Baccetti et al (2005)
Used in dentistry in orthodontics, jaw functional orthopedics, pediatric dentistry and implantology.
--------------------------------------------------------------------------------
References:
1. Hassel B, Farman AG. Skeletal maturation evaluation using cervical vertebrae. Am. J. Orthod. Dentofacial Orthop. 1995. 107(1):58-66.
2. Mito T, Sato K, Mitani H. Cervical vertebral bone age in girls.Am J Orthod Dentofacial Ortho. 2002. 122(4):380-85.
3. Bacetti T, Franchi L, McNamara JA Jr: The Cervical Vertebral Maturation Method for the assessment of Optimal Treatment Timing in Dentofacial Orthopedics. Semin Orthod 11(3):119-129
Mudah Umur adalah sebuah aplikasi untuk estimasi usia tulang melalui metode vertebra pematangan serviks.
           Perubahan yang terjadi dalam morfologi tulang leher C2, C3 dan C4, hadir dalam Cephalogram lateral yang rutin dapat digunakan dalam evaluasi pematangan tulang, dalam cara yang dapat diandalkan dan dengan nilai klinis yang sama dari penilaian dari tangan dan pergelangan tangan wilayah. (Hassel & Farman, 1995; Baccetti et al, 2005)
            Mudah Umur menghitung usia tulang dengan metode:
                 - Hassel & Farman (1995)
                 - Mito et al (2002)
                 - Baccetti et al (2005)
 Digunakan dalam kedokteran gigi di orthodonsi, rahang ortopedi fungsional, kedokteran gigi anak dan implantology.
-------------------------------------------------- ------------------------------
Referensi:
1. B Hassel, Farman AG. Evaluasi maturasi tulang menggunakan tulang leher. Saya. J. Orthod. Dentofacial Orthop. 1995. 107 (1): 58-66.
2. Mito T, Sato K, Mitani H. Serviks usia tulang vertebra di girls.Am J Orthod dentofacial Ortho. 2002. 122 (4): 380-85.
3. Bacetti T, Franchi L, McNamara JA Jr: The serviks vertebra Metode Pematangan untuk penilaian Optimal Pengobatan Timing di dentofacial Ortopedi. Semin Orthod 11 (3): 119-129

Memperbarui Easy Age 1.0

Calculates with several methods of estimation of bone age using the maturation methods of the cervical vertebrae.

Informasi

  • Kategori:
    Kedokteran
  • Versi Terbaru:
    1.0
  • Perbarui:
    2018-07-25
  • Ukuran File:
    5.8MB
  • Persyaratan:
    Android 4 or later
  • Diupdate:
    Easy Age Software
  • ID:
    insidetechnology.easyage
  • Available on: